خبرني - تمكّن فريق طبي متخصص في مستشفى الملك المؤسس عبدالله الجامعي من إنقاذ حياة مريض يبلغ من العمر 57 عامًا، كان يعاني من نزيف دماغي حاد ناتج عن انفجار أمّ الدم في الشريان السباتي الداخلي وتفرع الشريان الدماغي الأمامي مع الأوسط .
وأُجريت العملية بنجاح على يد فريق طبي برئاسة الأستاذ الدكتور موفق الحيص، استشاري الأشعة التداخلية، وبالتعاون مع الأستاذ الدكتور محمد أبو جاموس، استشاري جراحة الدماغ والأعصاب .
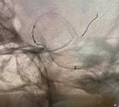
وخلال العملية، تم تركيب شبكة دقيقة بين الشريان الدماغي الأوسط والشريان السباتي الداخلي، ما ساعد على تحويل مسار الدم بعيدًا عن الكيس الدموي المنفجر، وبالتالي وقف النزيف بشكل كامل .
وأوضح الأستاذ الدكتور موفق الحيص أن هذه العملية تُعد من العمليات المعقدة والدقيقة جدًا، وتتطلب مهارة عالية في التعامل مع الأوعية الدموية الدماغية، مشيرًا إلى أن المستشفى يمتلك كوادر طبية مؤهلة وأجهزة متطورة تمكّنه من إجراء مثل هذه التدخلات العصبية الدقيقة .
ومن جانبه، أكد الأستاذ الدكتور محمد أبو جاموس أن سرعة التشخيص والتدخل الفوري كان لهما الدور الأساسي في إنقاذ حياة المريض ومنع حدوث مضاعفات عصبية خطيرة، مشيدًا بروح التعاون والعمل الجماعي بين تخصصي جراحة الأعصاب والأشعة التداخلية .
وغادر المريض المستشفى وهو يتمتع بصحة تامة ودون أي مضاعفات تُذكر.
وتُعدّ مثل هذه العمليات من أدق وأخطر العمليات العصبية التداخلية، التي لا تُجرى إلا في المراكز الطبية المتقدمة التي تمتلك الكفاءات والخبرات العالية في هذا المجال .
وفي هذا السياق، عبّر مدير عام المستشفى الأستاذ الدكتور حسان البلص عن شكره وتقديره للكوادر الطبية والإدارية العاملة في المستشفى، مشيدًا بما يتحقق من إنجازات طبية متميزة على أعلى المستويات بجهود أطباء وكوادر مؤهلة ومدرّبة، وبفضل ما يمتلكه المستشفى من أجهزة طبية حديثة ومتطورة تواكب أحدث ما توصل إليه العلم .




