خبرني - حذّرت الدكتورة رشا قاقيش، أخصائية الصدرية والحساسية لدى الأطفال، من المخاطر الجسيمة لاستخدام أجهزة “الفيب” بين المراهقين، مؤكدة أن بعض هذه الحالات قد تؤدي إلى تليف دائم في الرئتين لا يمكن علاجه.
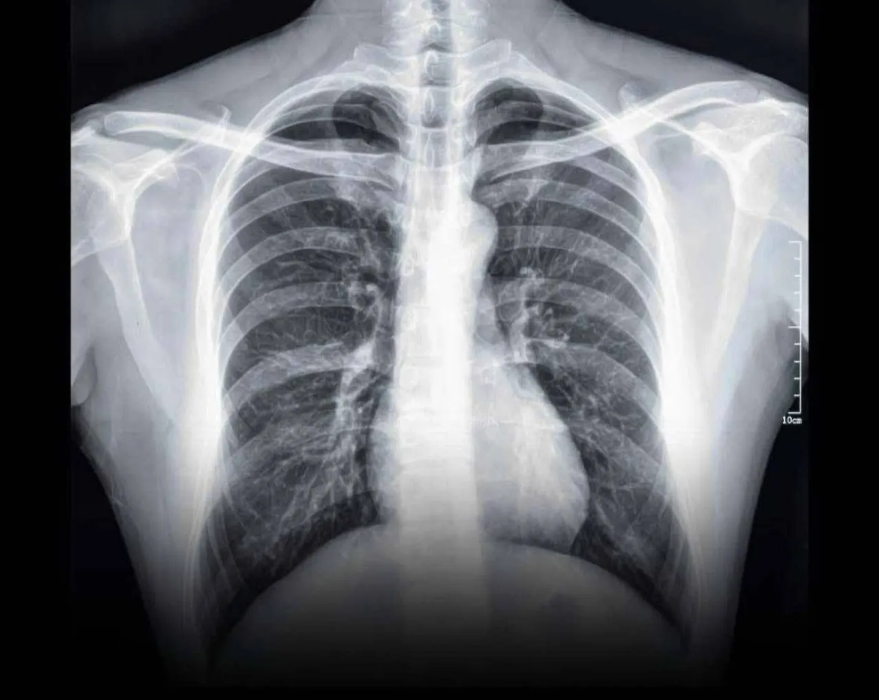
ونشرت قاقيش صورة شعاعية لرئة مراهق يبلغ من العمر 16 عاماً، أصيب بتليف رئوي حاد بعد عام فقط من استخدامه لجهاز “الفيب” بشكل سري بعيداً عن علم أهله، ما استدعى إدخاله في حالة صحية حرجة استلزمت الاعتماد الكامل على الأوكسجين، مع منعه من ممارسة أي نشاط رياضي.
وأشارت الدكتورة إلى أن هذه الحالة مصابة بما يُعرف بـ “Popcorn Lung” أو “Bronchiolitis Obliterans”، وهي حالة خطيرة تسببها مواد كيماوية تُستخدم في سوائل الفيب، مثل “Diacetyl” و”Acetoin”، رغم محاولة بعض الشركات خداع المستهلكين بإزالة اسم المادة الأولى فقط من عبواتها.
واختتمت قاقيش منشورها بمناشدة موجهة للأهالي بضرورة مراقبة أبنائهم وتوعيتهم حول المخاطر القاتلة لاستخدام الفيب، قائلة: “رجاءً انتبهوا لحالكم ولأولادكم… شب عمره 16 سنة صار محكوماً بالأوكسجين مدى الحياة، مش حرام؟”




