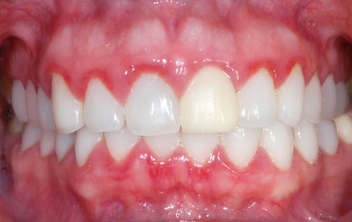
خبرني - تتميز اللثة المعافاة بلون وردي وملمس صلب، لذلك إذا كانت اللثة حمراء وملتهبة فيمكن أن يمثل ذلك علامة مبكرة على مرض اللثة. وهناك العديد من الأسباب التي يمكن أن تسبب التهاب اللثة.
فما هي هذه الأسباب؟
– التدخين:
لا يزيد التدخين من خطر الإصابة بسرطان الرئة والسكتة الدماغية فقط. يمكن للتبغ أيضاً أن يضر باللثة ويؤدي إلى حساسيتها.
– نقص فيتامين سي:
الإسقربوط هو نقص حاد في فيتامين سي. يحدث عندما لا تحصل على ما يكفي من فيتامين سي من نظامك الغذائي، أو عندما يواجه جسمك صعوبة في امتصاص الفيتامين. تشمل أعراض هذا المرض التهاب اللثة وتورمها ونزيفها. قد تعاني أيضاً من التهيج والتعب وآلام المفاصل وكدمات في الجلد.
– التهابات الفم:
تقرحات الفم والتهاباته يمكن أيضاً أن تهيج اللثة وتجعلها أكثر حساسية.
– أمراض اللثة:
مرض اللثة هو التهاب يؤثر على الأنسجة التي تثبت الأسنان في مكانها. يمكن أن يؤدي سوء نظافة الأسنان إلى الإصابة بأمراض اللثة التي تحدث عندما يتراكم البلاك على الأسنان.
– السكري:
يمكن أن يؤثر مرض السكري أيضاً على صحة الفم لأن الكثير من الغلوكوز (السكر) في اللعاب يساهم في نمو البلاك والبكتيريا في الفم. وإذا لم تتم إزالة البلاك الناتج عن هذه الحالة فقد يصاب المريض بأمراض اللثة وحساسيتها.




