خبرني - قد تظهر حبوب اللثة في الفم مما يسبب ازعاجا وشعور بعدم الراحة في الفم وغالبا ماتتهيج هذه الحبوب وتسبب الألم وعدم الرغبة بتناول الطعام .
ليس عليك القلق هذه الحبوب لا تعد ضارة نسبيا فهي تظهر وتزول من تلقاء نفسها.
ما هي أسباب ظهور حبوب في اللثة؟
قد تتسبب كل حالة من الحالات التالية بظهور حبوب اللثة:
1. الأكياس الفموية: هي أكياس صغيرة مملوءة بالهواء أو السوائل أو غيرها من المواد الرخوة، ويمكن أن تتكون الأكياس على اللثة حول جذور الأسنان الميتة، وتنمو هذه الأكياس ببطء مع مرور الوقت ونادرًا ما تُسبب أعراضًا إلا إذا أصيبت بالعدوى، وعندما تحدث العدوى، قد تُسبب بعض الألم والتورم حول الأكياس، يمكن للكيس أيضًا أن يضغط على الأسنان إذا كان حجمه كبيرًا نسبيًا، مما يؤدي إلى ضعف الفك مع مرور الوقت، وتُزال معظم أكياس الأسنان من خلال إجراء جراحي بسيط، ويمكن للطبيب علاج أنسجة الجذور الميتة لمنع عودتها مرةً أخرى.
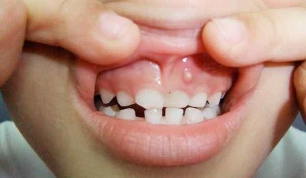
2. خراج اللثة: هو تراكم القيح داخل اللثة المحيطة بالسن، استجابةً للجهاز المناعي عند حدوث العدوى التي تسبب التهاب اللثة الحاد، إذ تلتهب اللثة وتبتعد عن الأسنان وينتج عن ذلك تكوين جيوب عميقة بين السن واللثة تتراكم فيها البكتيريا، وقد يظهر خراج دواعم السن على شكل نتوء أحمر على أنسجة اللثة الملتهبة، قد يعاني الأشخاص الذين يعانون من الخراج أيضًا من ألم نابض في الأسنان المجاورة، ويتضمن علاجه تفريغ الخراج المتراكم وتنظيف اللثة من القيح، أو علاج قناة الجذر، أو خلع الأسنان.
3.التقرحات: هي تقرحات صغيرة في الفم يمكن أن تتكون في قاعدة اللثة، وتظهر على شكل بقع بيضاء أو صفراء ذات حدود حمراء وغالبًا ليست ضارةً، إذ تظهر وتزول من تلقاء نفسها في غضون أسبوع أو أسبوعين، لكنها تُسبب بعض الألم، كما يمكن أن تجعل الأكل والشرب صعبًا قليلًا.
4.القلاع الفموي: أو ما يسمى أيضًا بداء المبيضات، هو عدوى خميرة تُصيب الفم، ويحدث بسبب فرط نمو نوع من الخميرة يسمى المبيضات، وقد يلاحظ الأشخاص المصابون بالقلاع الفموي نتوءاتٍ أو بقعًا بيضاء على اللثة أو الخدين أو اللسان أو سقف الفم، وتتضمن الأعراض التي تصاحب الإصابة بها: احمرارًا ووجعًا في الفم، واحمرارًا وتشققًا في زوايا الفم، وفقدان الذوق، وألمًا عند الأكل أو البلع، وعادةً ما تعيش المبيضات داخل الجسم دون أن تُحدث أي ضرر، يمكن أن يُسبب ضعف جهاز المناعة وسوء صحة الفم وتناول بعض الأدوية مثل المضادات الحيوية واستنشاق الكورتيكوستيرويدات زيادة تكاثر الفطريات، وقد يتضمن العلاج استخدام دواء مضاد للفطريات، مثل كلوتريمازول أو ميكونازول أو نيستاتين، وبالنسبة للعدوى الشديدة قد يصف الطبيب قرصًا مضادًا للفطريات مثل فلوكونازول.
5.الورم الليفي الفموي: هو كتل حميدة غير مؤلمة، تتشكل على أنسجة اللثة المتهيجة أو المصابة وتتكون في باطن الخد، أو تحت أطقم الأسنان، أو على جانبي اللسان، أو باطن الشفتين، بسبب تهيج الأسنان أو بسبب الأجهزة الفموية الأخرى، ويُعالَج عن طريق إزالته بالكامل.
6.الورم الحبيبي القيحي الفموي: هو نتوء أحمر اللون يتطور في الفم بما في ذلك اللثة، وعادةً ما يظهر على شكل تورم مملوء بالدم ينزف بسهولة، ويتكون نتيجةً لعدة عوامل مثل الإصابات الطفيفة أو تهيج اللثة، ويتطوّر عند بعض النساء الحوامل، مما يشير إلى أن التغيرات الهرمونية أثناء الحمل قد تكون أيضًا عاملًا، ويتضمن العلاج عمومًا الاستئصال الجراحي للكتلة.
7.الكتل العظمية: هي نمو عظمي بطيء يأخذ مجموعةً متنوعةً من الأشكال داخل الفك السفلي، وحول جوانب اللسان، وتحت أو فوق الأسنان ونادرًا ما يحتاج إلى علاج. وجوب ذهابكِ إلى الطبيب عند ظهور حبة في اللثة تجب عليكِ زيارة الطبيب إذا كان لديكِ أي نوع من الآفات الفموية التي تستمر لمدة أسبوعين أو أكثر، وعلى الرغم من أن هذه الآفات غالبًا ما تكون غير ضارة، فمن الضروري استبعاد الحالات الأكثر خطورةً في أقرب وقت ممكن، فمن الممكن أن يزيد الاكتشاف المبكر لسرطان الفم من معدل نجاح العلاج والتخلص منه.
ويجب عليكِ زيارة طبيب الأسنان على الفور إذا اشتبهتِ في وجود كيس سني أو خراج الأسنان إذ يمكن أن تؤدي هذه الحالات إلى مضاعفات أخرى إذا عولجت سريعًا، مثل العدوى واسعة النطاق على مستوى الفم وفقدان الأسنان.




